インプラント 右下の小臼歯 川口で精密インプラント治療なら さかえ歯科クリニック
2014年12月16日

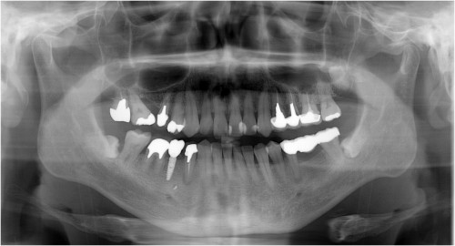
術 前

拡大像

被せ物装着後
川口で精密インプラント治療なら さかえ歯科クリニック

2014年12月16日

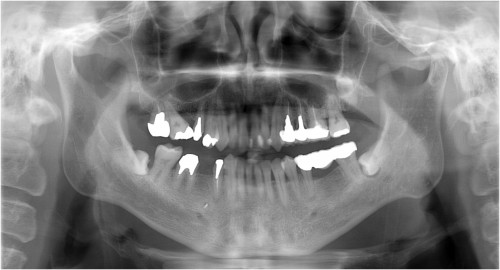
術 前

拡大像

被せ物装着後
川口で精密インプラント治療なら さかえ歯科クリニック
当院では、患者様が抱えていらっしゃるお口のお悩みや疑問・不安などにお応えする機会を設けております。どんな事でも構いませんので、私達にお話しして頂けたらと思います。
ご興味がある方は下記からお問い合わせください。
