審美歯科 左下奥歯 (オールセラミッククラウン・銀歯→白い詰め物) 川口の歯科 歯医者 さかえ歯科クリニック
2014年12月19日

川口の歯科 歯医者 さかえ歯科クリニック

2014年12月18日
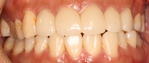
左下6 : オールセラミッククラウン
左下7 : 銀歯(保険適応)
 と 銀歯 左下7(保険)-500x396.jpg)
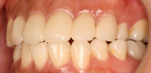
左上5 : オールセラミッククラウン
左上6 : ハイブリットクラウン
 と ハイブリットクラウン 左上6(自費)-283x500.jpg)
川口の歯科 歯医者 さかえ歯科クリニック
2014年12月18日
◎-300x225.jpg)
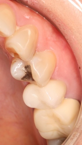
歯を削ります
-300x225.jpg)
同咬合面観
 -300x225.jpg)
被せ物を装着しました
-300x225.jpg)
同口蓋面観
川口の歯科 歯医者 さかえ歯科クリニック
2014年12月18日
オールセラミッククラウン

オールジルコニアクラウン

川口の歯科 歯医者 さかえ歯科クリニック
2014年12月17日

術 前 被せ物の装着
川口の歯科 歯医者 さかえ歯科クリニック
当院では、患者様が抱えていらっしゃるお口のお悩みや疑問・不安などにお応えする機会を設けております。どんな事でも構いませんので、私達にお話しして頂けたらと思います。
ご興味がある方は下記からお問い合わせください。
