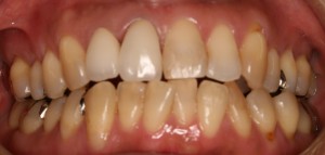
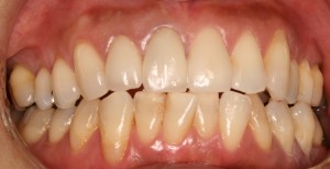
オフィスホワイトニング 術前 → 術後 川口の歯科 歯医者 さかえ歯科クリニック
2017年02月17日


川口の歯科 歯医者 さかえ歯科クリニック
ページを見る
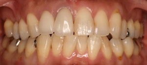
オフィスホワイトニング 川口の歯科 歯医者 さかえ歯科クリニック
2016年10月29日

川口の歯科 歯医者 さかえ歯科クリニック
ページを見る
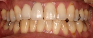
オフィスホワイトニング 川口の歯科 歯医者 さかえ歯科クリニック
2016年10月19日
術前
術後
川口の歯科 歯医者 さかえ歯科クリニック
ページを見る
審美歯科・ホワイトニング 川口の歯科 歯医者 さかえ歯科クリニック
2014年12月18日

術 前

右上12に被せ物を装着しました

上:ホワイトニングを始めました

下:ホワイトニングを始めました

左上1に被せ物を装着しました

術 後
川口の歯科 歯医者 さかえ歯科クリニック
ページを見る
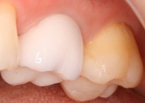
審美歯科・ホワイトニング 川口の歯科 歯医者 さかえ歯科クリニック
2014年12月17日

左上奥歯の被せもの

川口の歯科 歯医者 さかえ歯科クリニック
ページを見る
審美歯科 歯肉ホワイトニング 川口の歯科 歯医者 さかえ歯科クリニック
2014年12月16日

川口の歯科 歯医者 さかえ歯科クリニック
ページを見る
ホワイトニング 川口の歯科 歯医者 さかえ歯科クリニック
2014年12月15日

川口の歯科 歯医者 さかえ歯科クリニック
ページを見る
ホワイトニング 川口の歯科 歯医者 さかえ歯科クリニック
2014年12月15日

川口の歯科 歯医者 さかえ歯科クリニック
ページを見る
「個別」相談へのご案内
当院では、患者様が抱えていらっしゃるお口のお悩みや疑問・不安などにお応えする機会を設けております。どんな事でも構いませんので、私達にお話しして頂けたらと思います。
ご興味がある方は下記からお問い合わせください。