歯周病 歯周病の進行 川口の歯科 歯医者 さかえ歯科クリニック
2014年12月19日
川口の歯科 歯医者 さかえ歯科クリニック
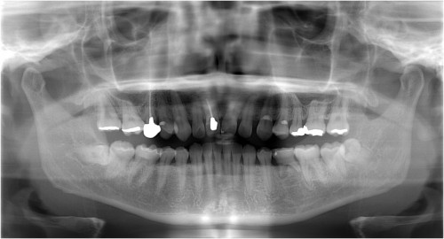
歯周病の進行度
歯ぐきの下の状態
左から
歯肉炎:歯周病の一歩手前の状態で歯ぐきに炎症が起きている状態で
す。
軽度歯周炎:歯周炎ポケットが4~5mmの状態です。
中度歯周炎:歯周ポケットが6~7mmの状態です。
重度歯周炎:歯周ポケットが7mm以上の状態です。

歯ぐきの状態

2014年12月19日
川口の歯科 歯医者 さかえ歯科クリニック
歯周病の進行度
歯ぐきの下の状態
左から
歯肉炎:歯周病の一歩手前の状態で歯ぐきに炎症が起きている状態で
す。
軽度歯周炎:歯周炎ポケットが4~5mmの状態です。
中度歯周炎:歯周ポケットが6~7mmの状態です。
重度歯周炎:歯周ポケットが7mm以上の状態です。

歯ぐきの状態
2014年12月19日

川口の歯科 歯医者 さかえ歯科クリニック
エナメル質に達するむし歯
光重合レジン充填・他

象牙質に達するむし歯
光重合レジン充填・部分的な詰め物(型どりを要す物)

歯髄に達するむし歯
歯の神経を取ります→土台を立てます→被せものをつくります。

2014年12月19日
川口の歯科 歯医者 さかえ歯科クリニック
CO:初期むし歯

C1:エナメル質に達するむし歯

C2:象牙質に達するむし歯

C3:歯髄に達するむし歯

2014年12月19日

川口の歯科 歯医者
さかえ歯科クリニック
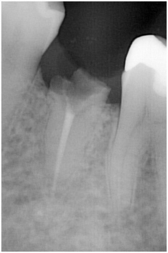
根の先に病巣ができています。

かぶせ物と土台を外します→根の管に詰まっている薬を外します→再び根の管を拡げます

根の管を拡げ終えました→症状がなくなりました→最終的なお薬を詰めます

土台の型を取ります→土台を付けます

歯の周りを削ります→被せ物を付けます

2014年12月19日

むし歯が神経に達しています。

むし歯を取り神経の管に穴を開けます。

神経の冠を拡げていきます。

神経の管を拡げ終えたら→最終的な薬を詰めます。

土台の型どりをします→土台を付けます。

土台の周りを削ります→型どりをします

被せものが出来上がります。
川口の歯科 歯医者 さかえ歯科クリニック
2014年12月19日
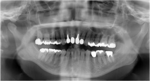
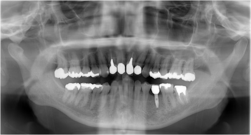
術前

抜歯後

埋入前(抜歯後約6ケ月)

上記、拡大写真

インプラント埋入直前

インプラント埋入時

同拡大

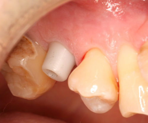
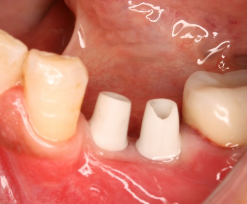
支台装着

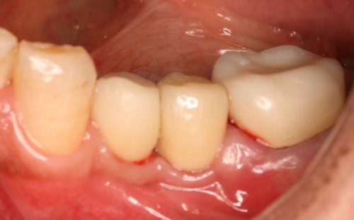
被せ物装着

同全体写真

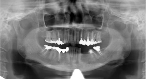
川口で精密インプラント治療なら さかえ歯科クリニック
2014年12月19日
術前

インプラント挿入

土台装着

被せ物装着

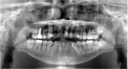
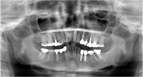
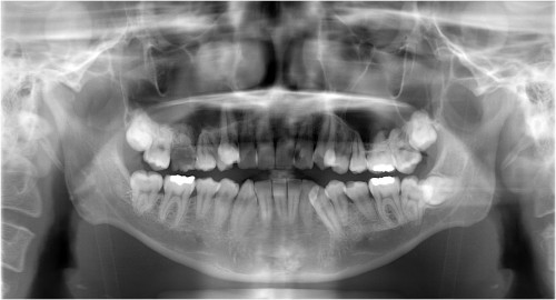
同パノラマ写真

被せ物装着後歯肉の盛り上がり

川口で精密インプラント治療なら さかえ歯科クリニック
2014年12月19日
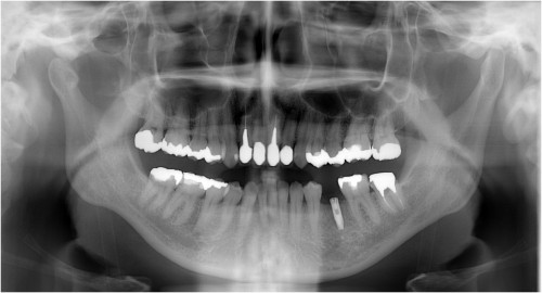
術前

左下5部 乳歯晩期残存

抜歯後

インプラント埋入直前

インプラント埋入直後

埋入後約3ヶ月

オペ時のISQ値

土台装着

被せ物装着

被せ物装着後

川口で精密インプラント治療なら さかえ歯科クリニック
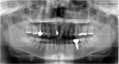
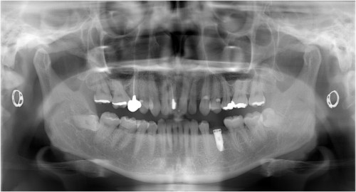
2014年12月19日
術前

被せ物の二次虫歯と根の破折

抜歯後

抜歯後2ケ月後経過

抜歯後4ケ月半後経過

インプラント埋入

ピエゾサージェリー

インプラント埋入後

オペ時のISQ値

土台装着

被せ物装着

術後

川口で精密インプラント治療なら さかえ歯科クリニック
当院では、患者様が抱えていらっしゃるお口のお悩みや疑問・不安などにお応えする機会を設けております。どんな事でも構いませんので、私達にお話しして頂けたらと思います。
ご興味がある方は下記からお問い合わせください。
