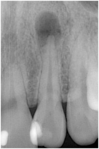
歯髄壊死 左上の前歯 川口の歯科 歯医者 さかえ歯科クリニック
2014年12月16日

川口の歯科 歯医者 さかえ歯科クリニック
ページを見る
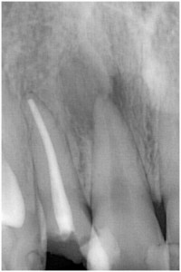
歯髄壊死 右上の前歯 川口の歯科 歯医者 さかえ歯科クリニック
2014年12月16日


術 前 術 後
川口の歯科 歯医者 さかえ歯科クリニック
ページを見る
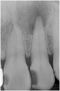
歯髄壊死 左上の前歯 川口の歯科 歯医者 さかえ歯科クリニック
2014年12月16日


術 前 術 後
川口の歯科 歯医者 さかえ歯科クリニック
ページを見る
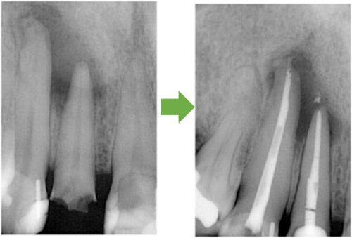
歯髄壊死 左上の前歯 川口の歯科 歯医者 さかえ歯科クリニック
2014年12月16日


術 前 術 後
川口の歯科 歯医者 さかえ歯科クリニック
ページを見る
歯髄壊死 左下の小臼歯 川口の歯科 歯医者 さかえ歯科クリニック
2014年12月16日


術 後
術 前
川口の歯科 歯医者 さかえ歯科クリニック
ページを見る
歯髄壊死 右上の前歯 川口の歯科 歯医者 さかえ歯科クリニック
2014年12月16日

川口の歯科 歯医者 さかえ歯科クリニック
ページを見る
歯髄壊死 右下の前歯 川口の歯科 歯医者 さかえ歯科クリニック
2014年12月16日

川口の歯科 歯医者 さかえ歯科クリニック
ページを見る
歯髄壊死 右上の前歯 川口の歯科 歯医者 さかえ歯科クリニック
2014年12月16日

川口の歯科 歯医者 さかえ歯科クリニック
ページを見る
歯髄壊死 右上の前歯 川口の歯科 歯医者 さかえ歯科クリニック
2014年12月16日

川口の歯科 歯医者 さかえ歯科クリニック
ページを見る
歯髄壊死 左上の奥歯 川口の歯科 歯医者 さかえ歯科クリニック
2014年12月15日

川口の歯科 歯医者 さかえ歯科クリニック
ページを見る
「個別」相談へのご案内
当院では、患者様が抱えていらっしゃるお口のお悩みや疑問・不安などにお応えする機会を設けております。どんな事でも構いませんので、私達にお話しして頂けたらと思います。
ご興味がある方は下記からお問い合わせください。