インプラント 左下6 川口で精密インプラント治療なら さかえ歯科クリニック
2015年04月14日
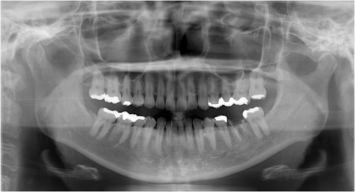
術前

インプラント埋入前

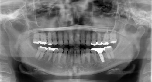
被せ物装着

術後

川口で精密インプラント治療なら さかえ歯科クリニック

2015年04月14日
術前

インプラント埋入前

被せ物装着

術後

川口で精密インプラント治療なら さかえ歯科クリニック
当院では、患者様が抱えていらっしゃるお口のお悩みや疑問・不安などにお応えする機会を設けております。どんな事でも構いませんので、私達にお話しして頂けたらと思います。
ご興味がある方は下記からお問い合わせください。
