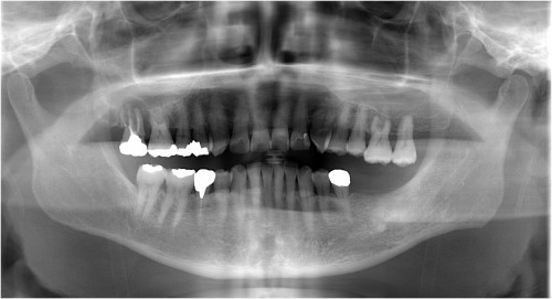
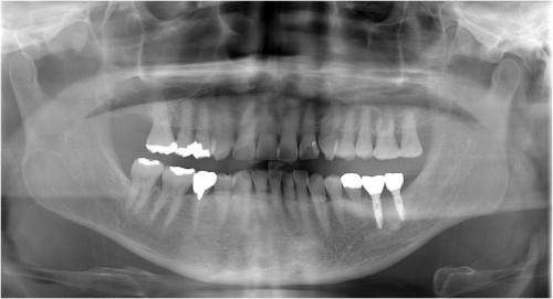
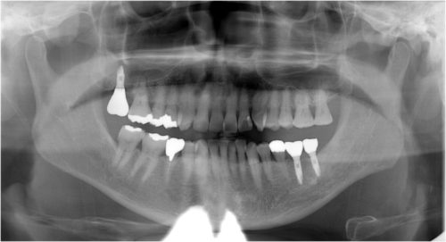
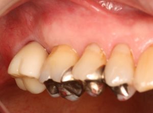
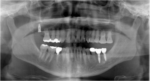
インプラント 右上4567 川口で精密インプラントなら さかえ歯科
2017年02月2日

川口で精密インプラントなら さかえ歯科クリニック




川口で精密インプラント治療なら さかえ歯科クリニック
川口で精密インプラント治療なら さかえ歯科クリック



川口で精密インプラント治療なら さかえ歯科クリニック





川口で精密インプラント治療なら さかえ歯科クリニック


















