インプラント 左下奥歯(根破折→抜歯→インプラント) 川口で精密インプラント治療なら さかえ歯科クリニック
2014年12月18日

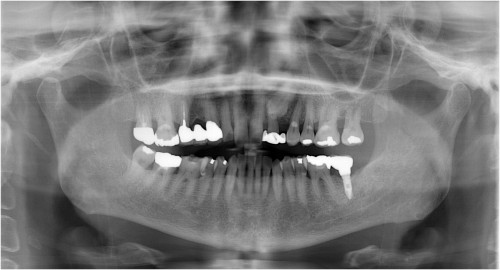
術前パノラマ写真

左下奥歯根破折

抜歯後→インプラント埋入

埋入時ISQ値

インプラント埋入後

同ISQ値

型どり前ISQ値

土台装着

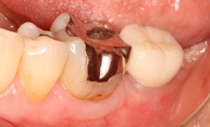
被せ物装着

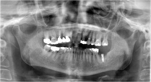
同パノラマ写真
川口で精密インプラント治療なら さかえ歯科クリニック

2014年12月18日

術前パノラマ写真

左下奥歯根破折

抜歯後→インプラント埋入

埋入時ISQ値

インプラント埋入後

同ISQ値

型どり前ISQ値

土台装着

被せ物装着

同パノラマ写真
川口で精密インプラント治療なら さかえ歯科クリニック
当院では、患者様が抱えていらっしゃるお口のお悩みや疑問・不安などにお応えする機会を設けております。どんな事でも構いませんので、私達にお話しして頂けたらと思います。
ご興味がある方は下記からお問い合わせください。
