インプラント サイナスリフト 左上奥歯 川口で精密インプラント治療なら さかえ歯科クリニック 「さかえ歯科クリニック」

川口駅「東口」徒歩30秒

048-225-4104

〒332-0015
埼玉県川口市川口1-1-1 キュポラ本館3階

診療時間
10:00〜13:00/
14:30〜19:30
  • 休診日:第2水・第2木・祝
  • ●:土・日|9:30~13:00 / 14:30~18:00
  • ※祝日のある週は木曜終日診療いたします
  • ※当院は予約優先となります
今すぐ簡単ネット予約

キービジュアル

インプラント サイナスリフト 左上奥歯 川口で精密インプラント治療なら さかえ歯科クリニック 

2014年12月18日

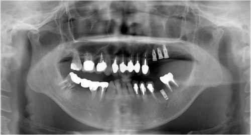
杉山1 初診時 ◎

 

 

 

 

 

 

 

 

 

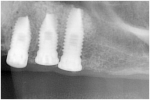
杉山3 埋入時杉山4 左上56サイナスリフト・拡大写真

 

 

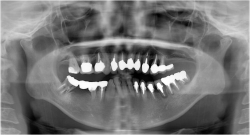
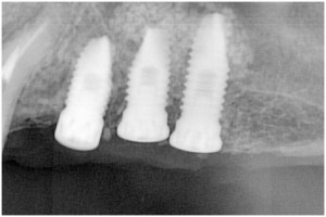
杉山5 左上56サイナスリフト後約3ヶ月

 

 

 

 

 

 

川口で精密インプラント治療なら さかえ歯科クリニック

「個別」相談へのご案内

当院では、患者様が抱えていらっしゃるお口のお悩みや疑問・不安などにお応えする機会を設けております。どんな事でも構いませんので、私達にお話しして頂けたらと思います。
ご興味がある方は下記からお問い合わせください。

  • 無料相談
  • インターネット予約

〒332-0015 埼玉県川口市川口1-1-1 キュポラ本館3階

JR川口駅「東口」徒歩30秒

048-225-4104

診療時間
10:00〜13:00/
14:30〜19:30
  • 休診日:第2水・第2木・祝
  • ●:土・日|9:30~13:00 / 14:30~18:00
  • ※祝日のある週は木曜終日診療いたします
  • ※当院は予約優先となります

このページの先頭に戻る