審美歯科 上の前歯 オールセラミッククラウン・ラミネートベニヤ 川口の歯科 歯医者 さかえ歯科クリニック
2014年12月18日
◎-300x225.jpg)
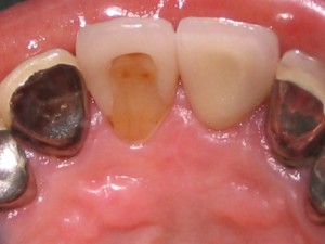
歯を削ります
-300x225.jpg)
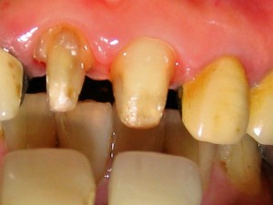
同咬合面観
 -300x225.jpg)
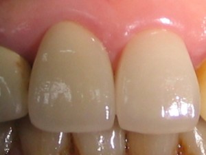
被せ物を装着しました
-300x225.jpg)
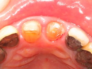
同口蓋面観
川口の歯科 歯医者 さかえ歯科クリニック

2014年12月18日
◎-300x225.jpg)
歯を削ります
-300x225.jpg)
同咬合面観
 -300x225.jpg)
被せ物を装着しました
-300x225.jpg)
同口蓋面観
川口の歯科 歯医者 さかえ歯科クリニック
当院では、患者様が抱えていらっしゃるお口のお悩みや疑問・不安などにお応えする機会を設けております。どんな事でも構いませんので、私達にお話しして頂けたらと思います。
ご興味がある方は下記からお問い合わせください。
