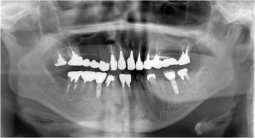
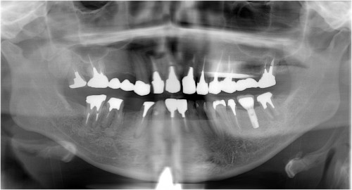
歯髄壊死 左上の前歯 川口の歯科 歯医者 さかえ歯科クリニック
2014年12月16日


術 前 術 後
川口の歯科 歯医者 さかえ歯科クリニック

2014年12月16日
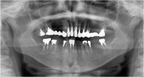
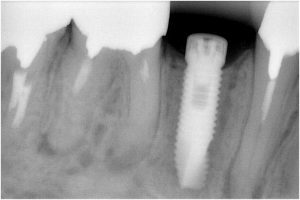
左下奥歯 欠損部 写真

術 前

被せ物装着後


川口で精密インプラント治療なら さかえ歯科クリニック 
川口で精密インプラント治療なら さかえ歯科クリニック
当院では、患者様が抱えていらっしゃるお口のお悩みや疑問・不安などにお応えする機会を設けております。どんな事でも構いませんので、私達にお話しして頂けたらと思います。
ご興味がある方は下記からお問い合わせください。
