抜髄 奥歯の神経の治療 川口の歯科 歯医者 さかえ歯科クリニック
2014年12月15日

川口の歯科 歯医者 さかえ歯科クリニック

2014年12月15日

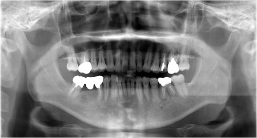
インプラント埋入直前

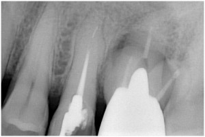
被せ物装着後
川口で精密インプラント治療なら さかえ歯科クリニック
2014年12月15日
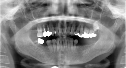
術前

同拡大

抜歯後

抜歯後GBR

GBR後

同拡大像

川口で精密インプラント治療なら さかえ歯科クリニック
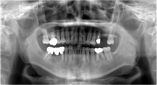
2014年12月15日

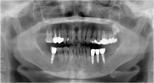
術前

下両奥歯 被せ物装着後
川口で精密インプラント治療なら さかえ歯科クリニック
当院では、患者様が抱えていらっしゃるお口のお悩みや疑問・不安などにお応えする機会を設けております。どんな事でも構いませんので、私達にお話しして頂けたらと思います。
ご興味がある方は下記からお問い合わせください。
