審美歯科 オールセラミッククラウンと銀歯(左下奥歯)オールセラミッククラウンとハイブリットセラミッククラウン(左上奥歯) 川口の歯科 歯医者 さかえ歯科クリニック
2014年12月18日
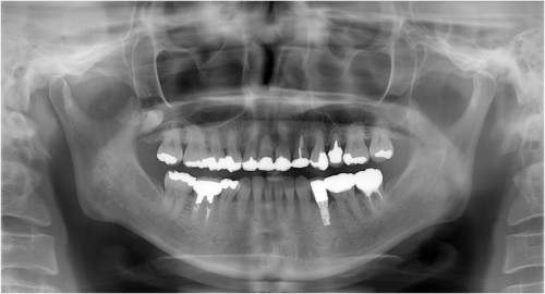
左下6 : オールセラミッククラウン
左下7 : 銀歯(保険適応)
 と 銀歯 左下7(保険)-500x396.jpg)
左上5 : オールセラミッククラウン
左上6 : ハイブリットクラウン
 と ハイブリットクラウン 左上6(自費)-283x500.jpg)
川口の歯科 歯医者 さかえ歯科クリニック

2014年12月18日
左下6 : オールセラミッククラウン
左下7 : 銀歯(保険適応)
 と 銀歯 左下7(保険)-500x396.jpg)
左上5 : オールセラミッククラウン
左上6 : ハイブリットクラウン
 と ハイブリットクラウン 左上6(自費)-283x500.jpg)
川口の歯科 歯医者 さかえ歯科クリニック
2014年12月18日
◎-300x225.jpg)
歯を削ります
-300x225.jpg)
同咬合面観
 -300x225.jpg)
被せ物を装着しました
-300x225.jpg)
同口蓋面観
川口の歯科 歯医者 さかえ歯科クリニック
2014年12月18日
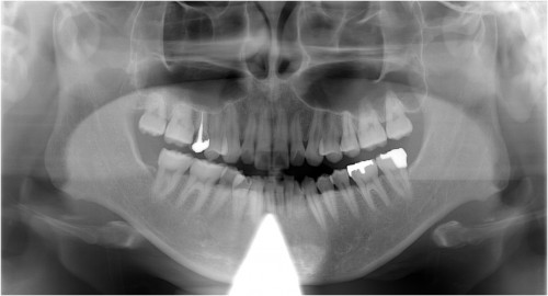
オールセラミッククラウン

オールジルコニアクラウン

川口の歯科 歯医者 さかえ歯科クリニック
2014年12月18日

術 前

右上12に被せ物を装着しました

上:ホワイトニングを始めました

下:ホワイトニングを始めました

左上1に被せ物を装着しました

術 後
川口の歯科 歯医者 さかえ歯科クリニック
2014年12月18日

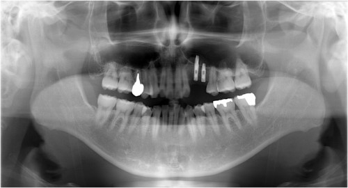
術 前

事故により左上34脱落→インプラント埋入

同拡大像

埋入後拡大像
川口で精密インプラント治療なら さかえ歯科クリニック
2014年12月18日

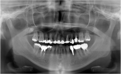
術 前

同拡大写真(根が破折しました)

抜歯後→インプラント埋入前

インプラント埋入後→被せ物装着

同パノラマ写真
川口で精密インプラント治療なら さかえ歯科クリニック
当院では、患者様が抱えていらっしゃるお口のお悩みや疑問・不安などにお応えする機会を設けております。どんな事でも構いませんので、私達にお話しして頂けたらと思います。
ご興味がある方は下記からお問い合わせください。
